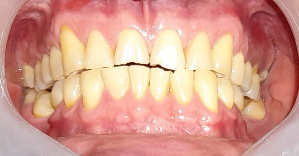
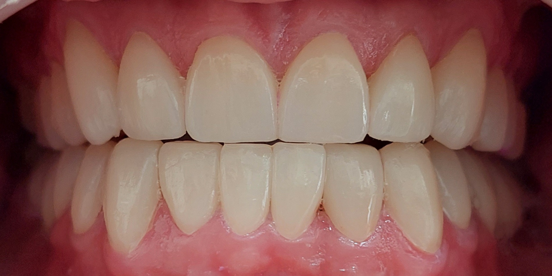
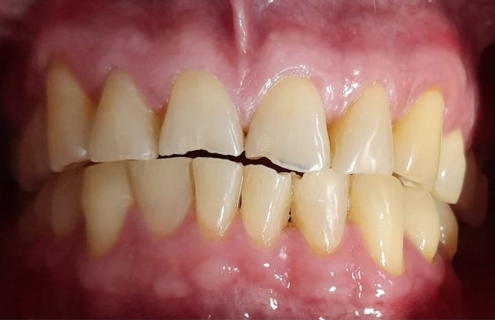
Diseño de Sonrisa: Carillas y Coronas en Zirconio ZR7 Multipropósito
Producto: Carillas y Coronas en Zirconio ZR7 Multipropósito
Cantidad: 16 Carillas | 2 Coronas | 7 Coronas en Puente
Color: A1
Dientes: Puente Del 45 al 48 y del 35 al 38, Coronas del 34 y 44 y carillas del 15 al 25 y del 33 al 43
Autor: Dr Nicanor Valderrama Tapiero


